Η νευροχειρουργική ογκολογία είναι κλάδος της νευροχειρουργικής με κύριο αντικείμενο μελέτης τους όγκους που εντοπίζονται στην περιοχή του εγκεφάλου και της σπονδυλικής στήλης και συγκεκριμένα εκείνους που είναι δυνατό να αντιμετωπιστούν χειρουργικά.
Όγκοι εγκεφάλου
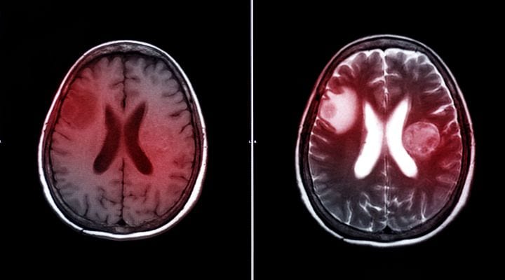
Οι όγκοι εγκεφάλου δημιουργούνται λόγω του ανεξέλεγκτου πολλαπλασιασμού των κυττάρων του ίδιου του εγκεφάλου, των μηνίγγων, του αδένα της υπόφυσης ή των κρανιακών νεύρων. Διακρίνονται σε πρωτοπαθείς ή δευτεροπαθείς, καλοήθεις ή κακοήθεις. Ανάλογα με τη θέση που εντοπίζονται, την ιστολογική σύσταση, το μέγεθος, την ηλικία του ασθενή και την κλινική εικόνα που παρουσιάζει αντιμετωπίζονται είτε χειρουργικά είτε συντηρητικά.
Πρωτοπαθείς και δευτεροπαθείς όγκοι εγκεφάλου
Οι πρωτοπαθείς όγκοι εγκεφάλου οφείλονται σε μεταλλάξεις του DNA των κυττάρων. Δυστυχώς ακόμη δεν έχει διασαφηνιστεί πλήρως η αιτία που τις προκαλεί.
Οι δευτεροπαθείς (μεταστατικοί) όγκοι εγκεφάλου προκύπτουν λόγω πρωτοπαθών όγκων που εντοπίζονται σε άλλα όργανα του ασθενή, όπως στον πνεύμονα, στην ουροδόχο κύστη, στο έντερο, στα νεφρά και στο μαστό.
Καλοήθεις και κακοήθεις όγκοι εγκεφάλου
Οι όγκοι εγκεφάλου διακρίνονται σε καλοήθεις και κακοήθεις.
Στην κατηγορία των καλοηθών όγκων συγκαταλέγονται:
- Το μηνιγγίωμα
- Το ακουστικό νευρίνωμα
- Το πολυκυτταρικό αστροκύττωμα
- Το υποεπενδύμωμα
- Το αδένωμα υπόφυσης – ογκοι υποφύσεως
- Το κρανιοφαριγγύωμα
- Ο επιδερμοειδής όγκος
- Το θήλωμα χοριοειδούς πλέγματος
Στην κατηγορία των κακοηθών όγκων συγκαταλέγονται:
- Το πολύμορφο γλοιοβλάστωμα
- Το αστροκύττωμα
- Το επενδύμωμα
- Το μυελοβλάστωμα
- Το ολιγοδενδρογλοίωμα
Τι είδους συμπτώματα προκαλούν οι όγκοι εγκεφάλου;
Τα συμπτώματα εξαρτώνται από το μέγεθος του όγκου, τον τύπο του και τη θέση εντόπισής του. Εκδηλώνονται όταν ασκείται πίεση στα νεύρα, εμποδίζεται η ομαλή ροή του εγκεφαλονωτιαίου υγρού ή προκαλείται οίδημα. Τα συνήθη συμπτώματα είναι:
- Επίμονη κεφαλαλγία
- Αίσθηση ναυτίας ή εμετός
- Διαταραχές στην όραση, στην ακοή και στην ομιλία
- Αστάθεια κατά τη βάδιση
- Δυσκολία συγκέντρωσης
- Διαταραχές μνήμης
- Επιληπτικές κρίσεις
- Μυϊκοί σπασμοί
- Λιποθυμικές τάσεις
Πρέπει να σημειωθεί πως τα παραπάνω συμπτώματα δεν αφορούν αποκλειστικά όγκους εγκεφάλου αλλά απαντώνται σε ποικίλες παθήσεις νευρολογικής φύσεως.
Πως γίνεται η διάγνωση;
Η διάγνωση των όγκων του εγκεφάλου περιλαμβάνει:
- Νευρολογική εξέταση, κατά την οποία ελέγχονται τα αντανακλαστικά, η δύναμη των μυών, η ακοή και η όραση
- Μαγνητική και αξονική τομογραφία
- Αγγειογραφία προκειμένου να καθοριστούν τα αγγεία που συμβάλλουν στην ενίσχυση του όγκου
- Οσφυονωτιαία παρακέντηση για τον εντοπισμό καρκινικών κυττάρων στο εγκεφαλονωτιαίο υγρό
- Βιοψία για να καθοριστεί η ιστολογική κατάταξη του όγκου ώστε να σχεδιασθεί η στρατηγική αντιμετώπισής του
Με ποιον τρόπο αντιμετωπίζονται οι όγκοι εγκεφάλου; Ποια η κατάλληλη θεραπεία;
Ο τρόπος αντιμετώπισής τους εξαρτάται από ποικίλους παράγοντες όπως ο τύπος, η ιστολογική ταυτοποίηση, η ηλικία του ασθενή κτλ. Εφόσον είναι εφικτό πραγματοποιείται χειρουργική επέμβαση κατά την οποία γίνεται ολική ή μερική αφαίρεση του όγκου. Ανάλογα με τον τύπο του όγκου η αφαίρεση είναι δυνατό να επιφέρει πλήρη ίαση. Εξυπακούεται πως η επιλογή νευροχειρουργού είναι καθοριστικής σημασίας όσον αφορά την επιτυχή έκβαση της επέμβασης, καθώς απαιτείται χειρουργική δεινότητα, υψηλό επίπεδο επιστημονικής εξειδίκευσης, και συνεργασία με σύγχρονο νοσηλευτικό ίδρυμα, το οποίο διαθέτει άρτιο τεχνολογικό εξοπλισμό.



